
We all know that puppies and kittens can be a handful. They initially need monthly check-ins with the vet. A series of vaccinations is needed. Hours and hours of puppy training should also be invested. But did you know that growing puppies and kittens also need to have their mouths checked regularly while developing? If you didn't then you're probably asking "Why?" now. Well in this article, we'll talk about everything you need to know about your pet's baby teeth, and how to catch unwanted problems at the "root"!
When Do My Pet's Teeth Start Coming In?
Deciduous, aka ‘baby’ teeth, begin to erupt at 3-4 weeks of age with dogs having 28 baby teeth and cats having 26. The adult teeth begin erupting as soon as 3 months of age finishing as late as 7 months of age. A normal adult dog has 42 teeth. A typical cat has 30 adult teeth by 6 months of age.

Most of this change happens in the 4-6 month age time period when one can see both adult and baby teeth, known as mixed dentition. Some people say this time can cause your pet to feel irritable or not themselves as teething can be an uncomfortable process. One often sees puppies chewing on things they shouldn’t, or in rare instances, a lack of interest in food. It’s always a good idea to get your pup checked out if you’re noticing these issues, as they could also be linked to other issues going on. If you would like to learn more about teething in puppies and the proper chew toys to use while they're going through this, go to our blog titled "What to Look For in a Chew Toy" or click here. Remember many things at the store can break teeth and are not appropriate.
They are born with adult teeth present in bone still continuing to form roots before they emerge from the gums. While they’re growing, they begin to put pressure onto the current deciduous teeth and stimulate them to begin reabsorbing. After the baby teeth’s roots have been reabsorbed, the crowns and hollow shells of the teeth are pushed out of the tooth socket and from the mouth. This is what should happen as your pet's adult teeth begin to come in, but it doesn't always work out that way. Many owners also think they will find their dog’s baby teeth. Most of the time, they are swallowed or lost, never to be seen usually without consequence.
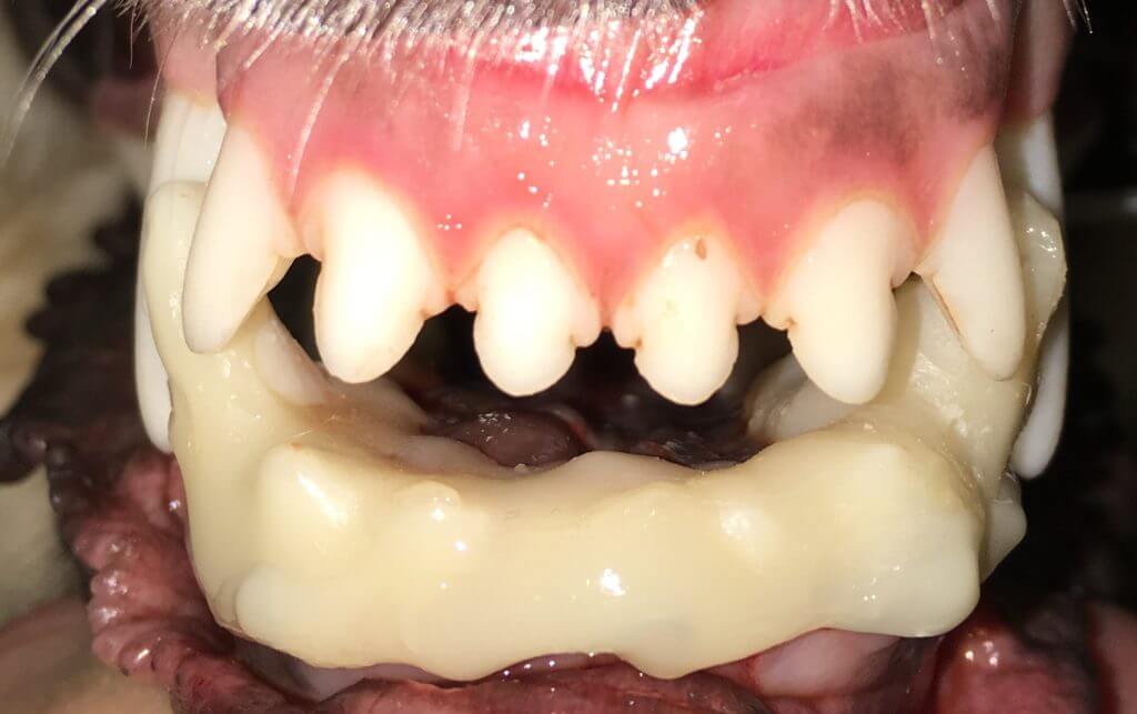
What Are Persistent Deciduous Teeth?
Baby teeth (also called primary or deciduous teeth) that are still present when the adult teeth begin to emerge are called persistent deciduous teeth. The persistent deciduous teeth cause the forming adult teeth to emerge from the gums in an altered position.
Persistent deciduous teeth could lead to more secondary issues within your pet's mouth. Not only will the adult teeth and baby teeth be in the same spot, but the main concerns are secondary alignment issues causing a painful bite and periodontal disease due to crowding. With more teeth in the mouth, it is more likely for food, hair, and other debris to collect around teeth and cause inflammation. This can create faster periodontal disease development, which is commonly seen as the red swelling in your pet's mouth and can have degrees of bone loss below the gum line. The rule to remember is that two teeth should never be in the same spot at the same time after six months of age. Sometimes we need to intervene earlier as well. it is important to remove the baby tooth as soon as the problem arises especially in small dog breeds that are more likely to develop both persistent baby teeth AND periodontal disease.
Removing baby teeth is not as simple as one would think. The roots are often 3 to 4 times as long as the crown. The first photo shows the tooth, the second shows the full tooth including root.
If roots happen to break, they have the risk of causing eye and nasal issues. There is a common conception that broken roots will be resorbed by the body, but this happens much less frequently than veterinarians as a whole think it does. The retained tooth root contains the pulp (blood vessels and nerves), a source of pain and disease. These become a chronic source of hidden pain that your pet cannot tell you about. This is just one reason for the importance of taking full mouth intraoral x-rays on every anesthetic dental procedure.

Another common problem seen with persistent deciduous teeth would be if it was a lower canine that was affected: In this case, the adult tooth erupts too close on the tongue side because the baby teeth has not been lost (as mentioned above). This results in the lower canines poking into the roof of the mouth and causing open wounds, infection, or even upper tooth or nose damage. Often times this is accompanied by the lower mandibles being too short, a growth discrepancy that is usually genetically predisposed. With the mandibles being too short, there isn’t enough space for the canines to tip outward and interdigitate with the upper teeth. Sometimes a baby tooth may not yet be persistent but the jaw length relationship allows the lower canines to catch in the soft tissues of the palate preventing the appropriate growth.

Is My Pet At Risk for Persistent Deciduous Baby Teeth?
Small dogs or dog breeds are more likely to develop persistent deciduous teeth and especially brachycephalic (smush-faced) dogs. Any baby tooth could end up being persistent, but it’s most commonly in the upper canines. After that would be the lower canines and then the incisors.
If your puppy has a jaw length discrepancy or the lower canines (baby and/or adult) erupt to contact the palate with or without persistent deciduous teeth, this condition can be hereditary. It is not recommended to breed dogs with this condition even if it is corrected.
Are There Treatment Options for Persistent Deciduous Baby Teeth?
Yes! Persistent baby teeth should be extracted as soon as they are noticed. It will require general anesthesia and careful precautions will be taken by the performing veterinarian to try to prevent the crowns of the adult teeth to be damaged during the procedure. If the persistent baby teeth are not noticed until neutering, then it is okay to have it done during the same procedure. Waiting to have the baby teeth removed could lead to malposition of the adult tooth, slowing the growth of the lower jaw, and/or bone loss around the adult tooth. The sooner the problem is found and treated, is more likely the resolution to be faster and simpler.
After discharge from the dental extraction, your pet should remain on a soft diet for 10-14 days after the dental procedure. This means wet food or if your pet won’t eat wet food then dry kibble softened and soaked in water. In addition to using pain management during the dental procedure, your veterinarian will usually send you home with additional pain medication for 3-5 days after surgery. Brushing and wipes should be avoided until 10-14 days after the procedure when your pet comes back in for the Medical Progress Exam. This re-evaluation appointment is to ensure that your pet is healing properly from the dental procedure and no additional problems have arisen.
A persistent baby tooth without an adult counterpart seen visually or radiographically (on x-ray), is an exception. It can be treated like any normal tooth. It usually has thinner, longer roots, but can stay as long as it is healthy on the margin and inside as we evaluate all teeth.
Is There Any Kind of Prevention?
There is no prevention as the main influence is genetics. The best way to avoid any serious complications would be to catch the situation as early as possible. This is part of the evaluation your veterinarian should look at during the puppy visits which are typically at 6, 9, 12, and 16 weeks of age. Having additional visits at 20 and 24 weeks can be helpful to catch changes during this rapid growth phase. You can also begin brushing your pet's teeth and cleaning with dental wipes at 2 weeks of age, but you should remain gentle during this time as the teeth coming in are fresh and tender. Brushing or wipes should be used daily or at least every other day to be effective in dental care. If you keep this habit up and start early, it’s much easier to continue as they grow older. Additionally, by brushing your pet’s teeth every day, you’re able to get a good look at the mouth and notice any differences or issues as soon as they arise.
Final Verdict:
Two teeth in the same location are a serious concern that should be evaluated as soon as it is discovered. Additionally, the earlier the problem is found, one can have easier methods to correct it before the problem worsens. If you notice anything that doesn’t look right or any additional teeth where they shouldn’t be, give us a call or schedule an appointment with us to get it checked out!